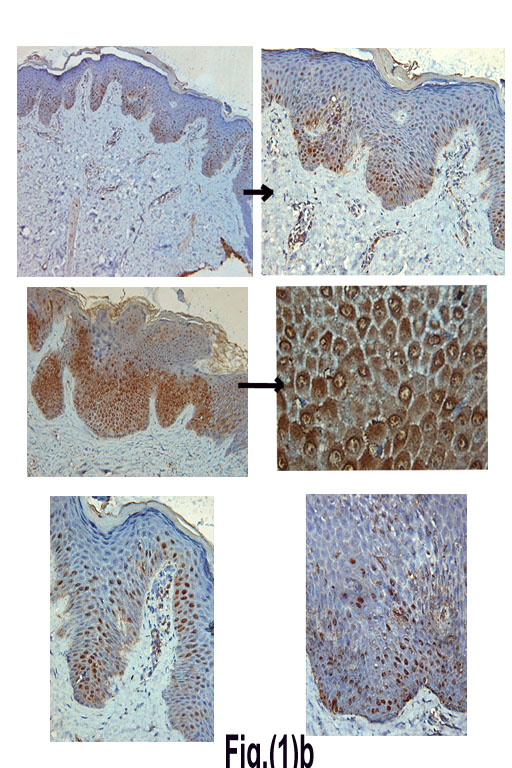
Fig.(1)b
: Different patterns and intensities of staining for TSLP
in ADe lesional skin: Nuclear vs. cytoplasmic, diffuse vs, patchy.