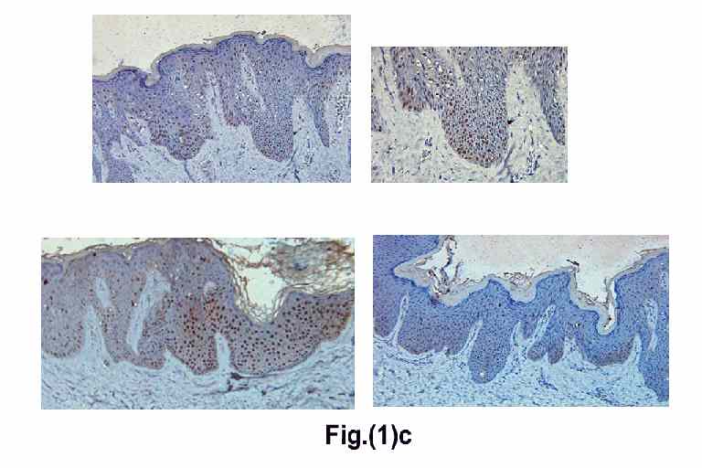
Fig.(1)c
: Different patterns and intensities of staining for TARC
in ADe lesional skin.