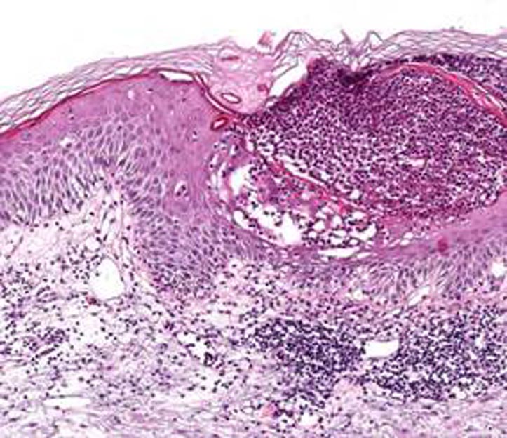
Fig 2: Histopathological examination showing subcorneal pustule with neutrophils and spongiosis (H&E stain, 40x).