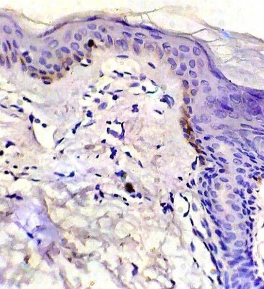
Fig 1: Control skin showing weak p53 expression. (ABC, Meyer s HX counter stain x 400)