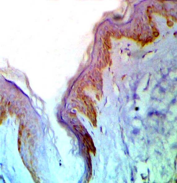
Fig 2: A case of LP showing strong expression of p53 in basal and suprabasal cell layers before treatment.(ABC, Meyer s HX counter stain x 200)