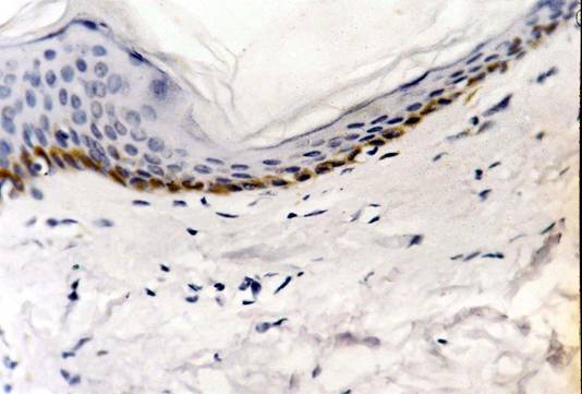
Fig 4: Control skin showing moderate bcl-2 expression. (ABC, Meyer s HX counter stain x 400)