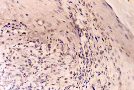
Fig 5: A case of LP before treatment showing weak bcl-2 expression in basal keratinocytes and strong expression in dermal lymphocytes. (ABC, Meyer s HX counter stain x 400)