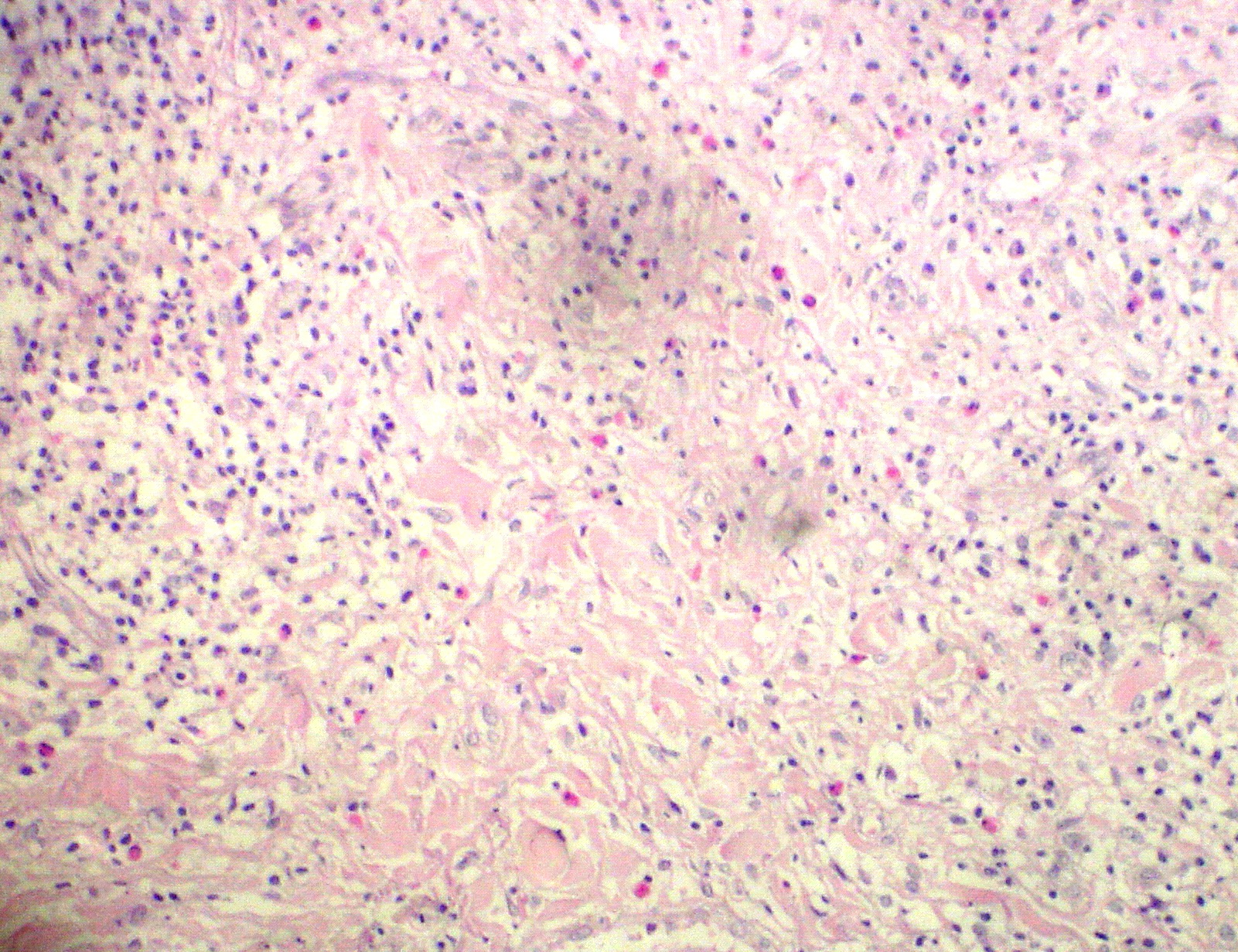
Fig 2: Skin biopsy showed diffuse infiltration by large lymphohistiocytic cells. Some of cells showed lymphophagocytosis [H&E X 12].