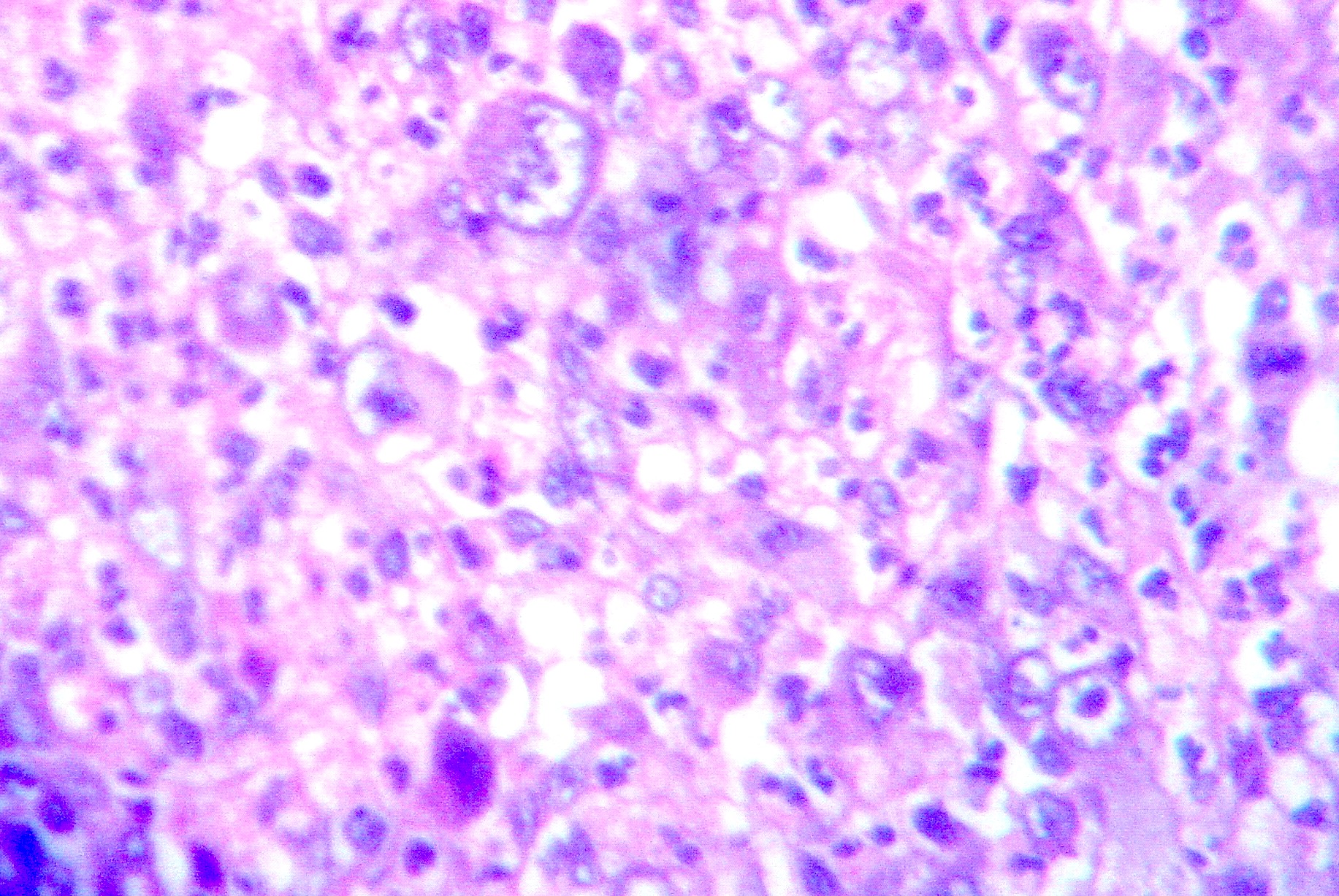
Fig 3: LN biopsy showed multinucleated tumor cells with abundant cytoplasm [H&E X 160]