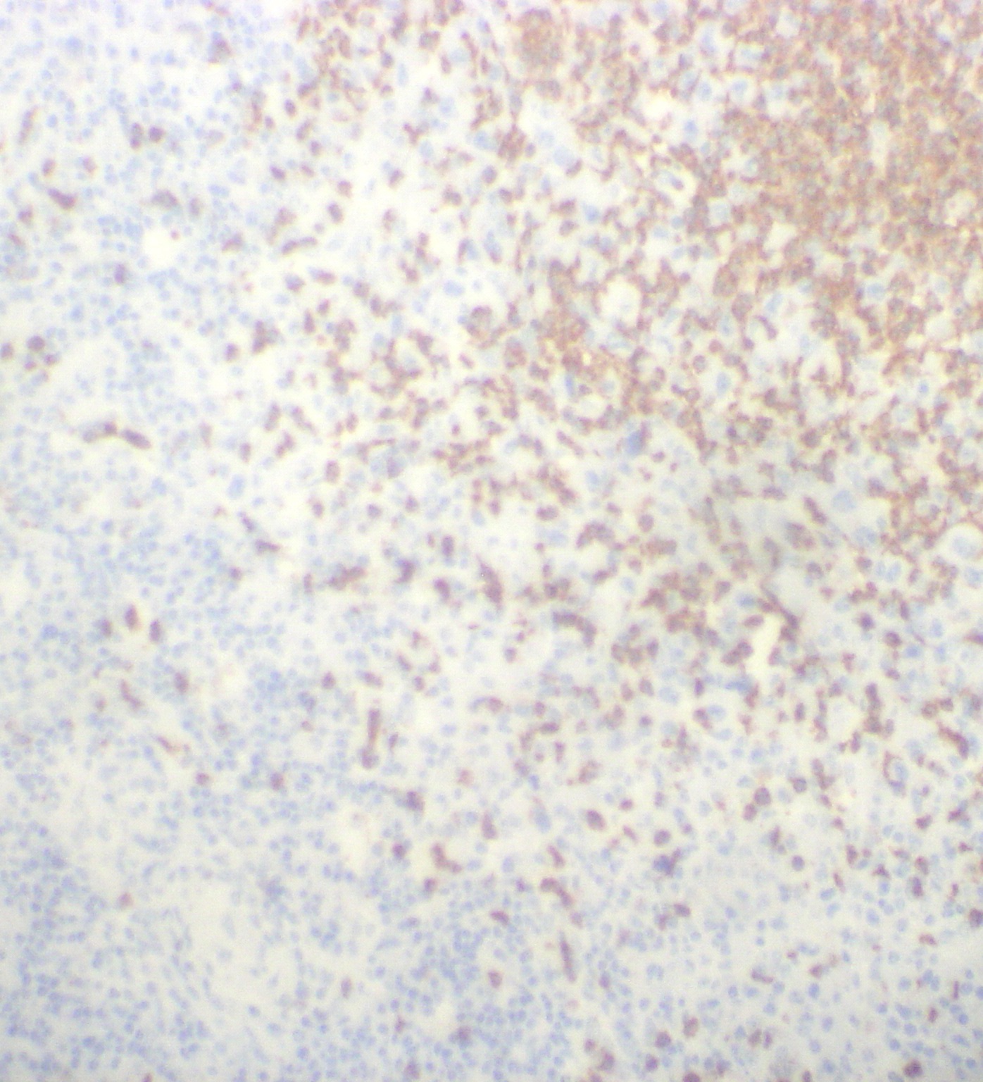
Fig 6: CD 15 immunohistochemical stain showed focal cytoplasmic staining for some cells [X 160]