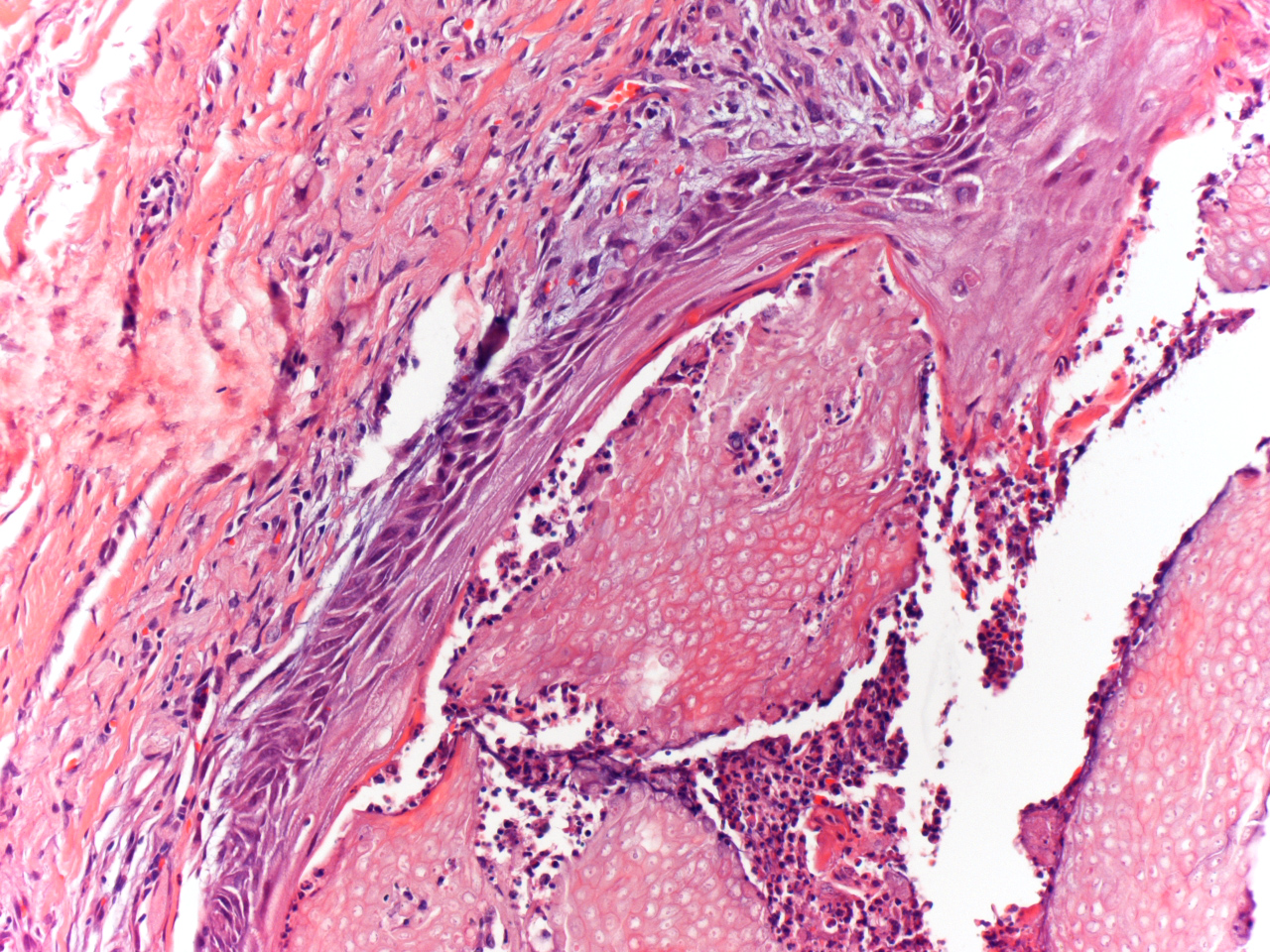
Fig 3: Present islands of eosinophilic shadow cells perforating to epidermis (original magnification, H&E x200).