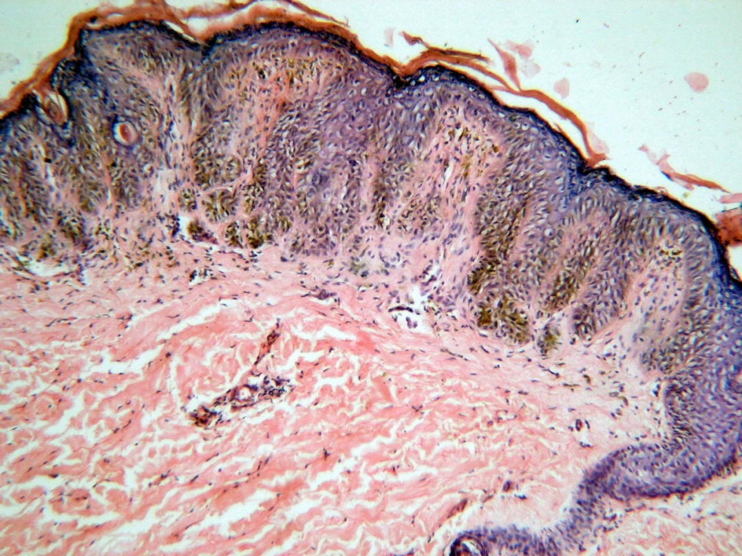
Fig 5: H&E stained section showing hyperkeratosis, acanthosis, papillomatosis and hypermelanosis.