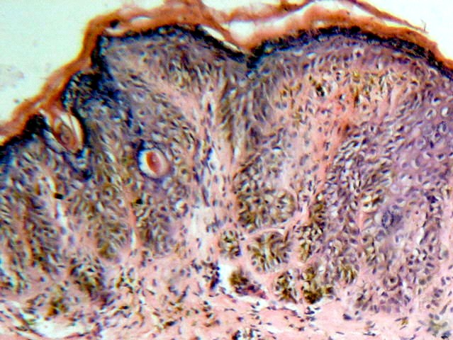
Fig 6: Branching heavily melanized epidermal downward proliferations arising from the lower border of epidermis.