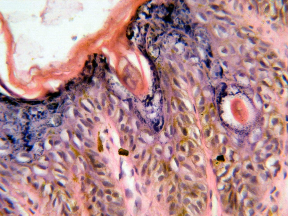
Fig 7: Small horn cysts within the epidermal proliferations.