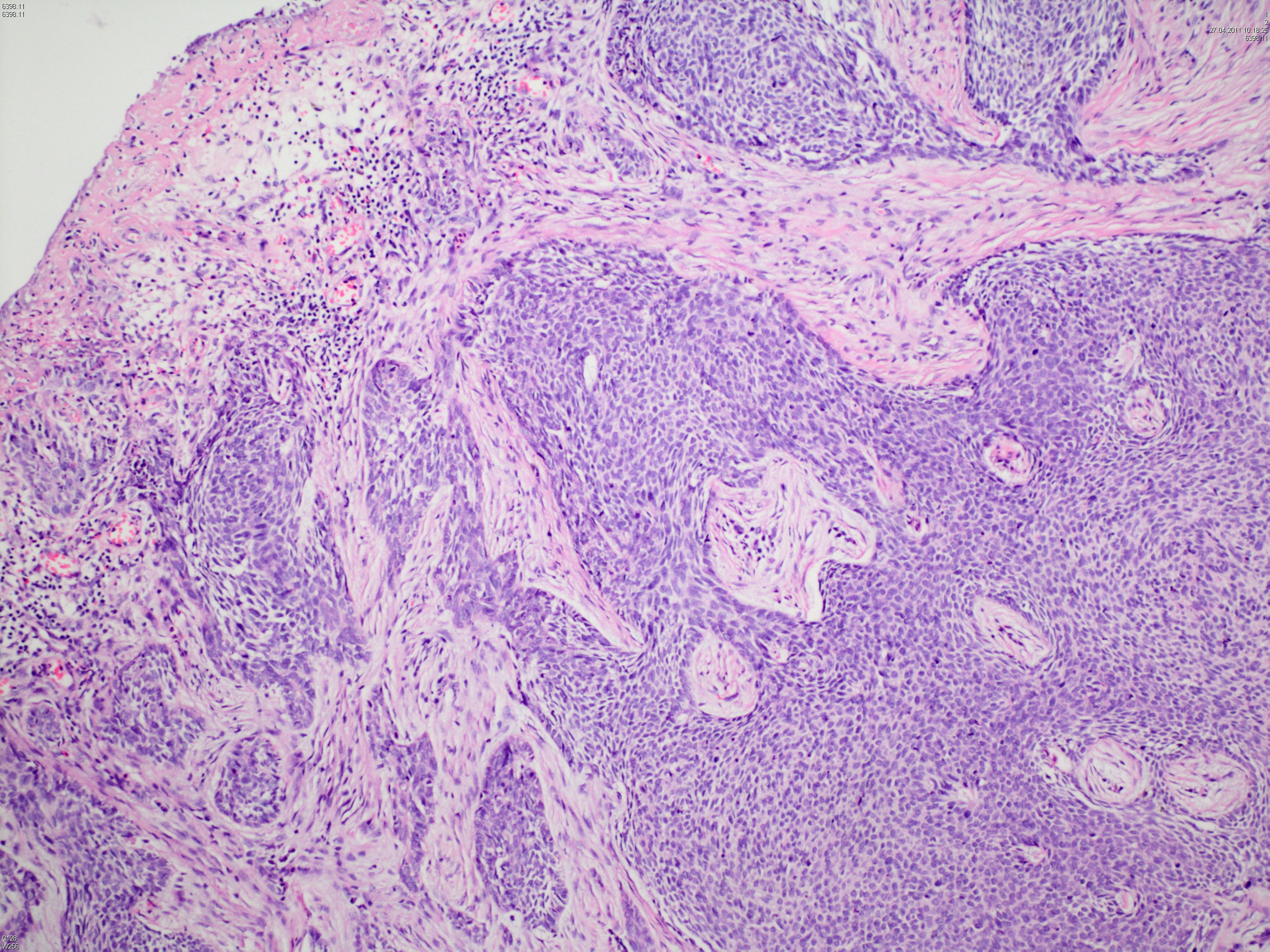
Fig 2: Basal cell carcinoma, nodular type. The nodular aggregates of basaloid tumor cells, with peripheral palisading, are invading the dermis (H&EX100).