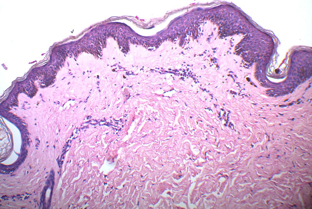
Fig 4: High power view showing hylinized collagen, lymphocytic infiltrate, melanophages and slightly atrophic epidermis with interface. (H&E, 100X)