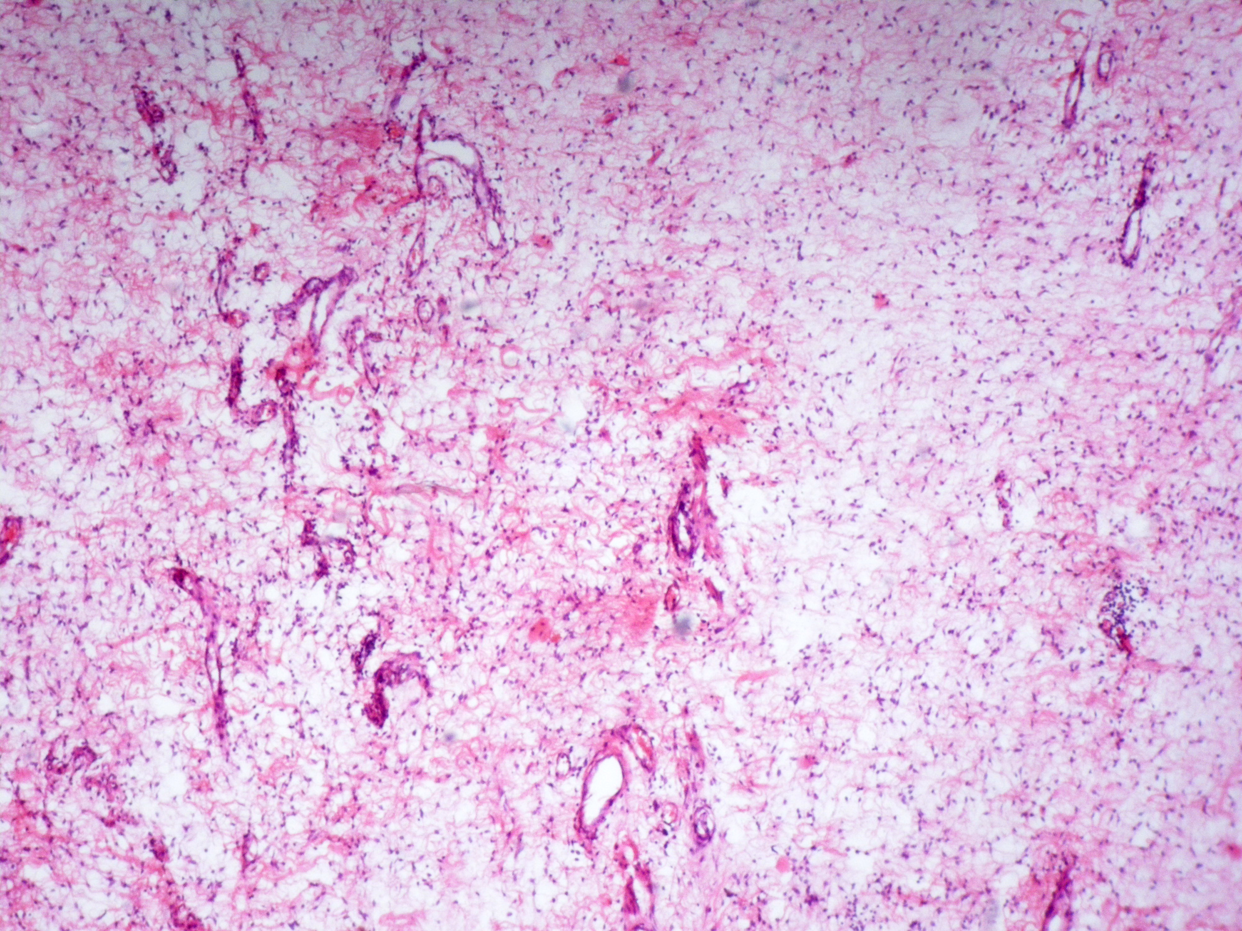
Fig 2: Histopathology showing hypocellular stroma and myxoid changes (x100).