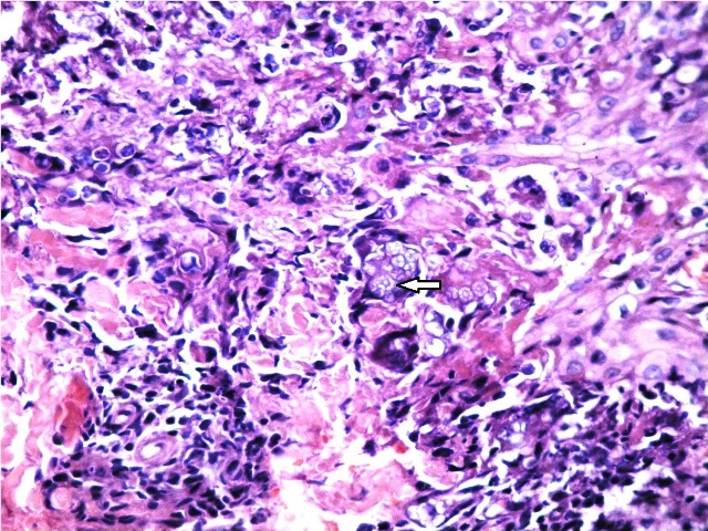
Fig 4: Basophilic spherules of prototheca are seen (40X).