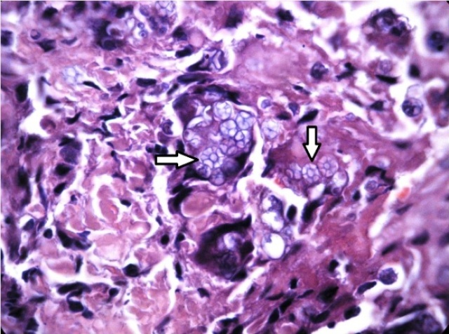
Fig 5: Light basophilic spherules of prototheca seen under oil immersion.