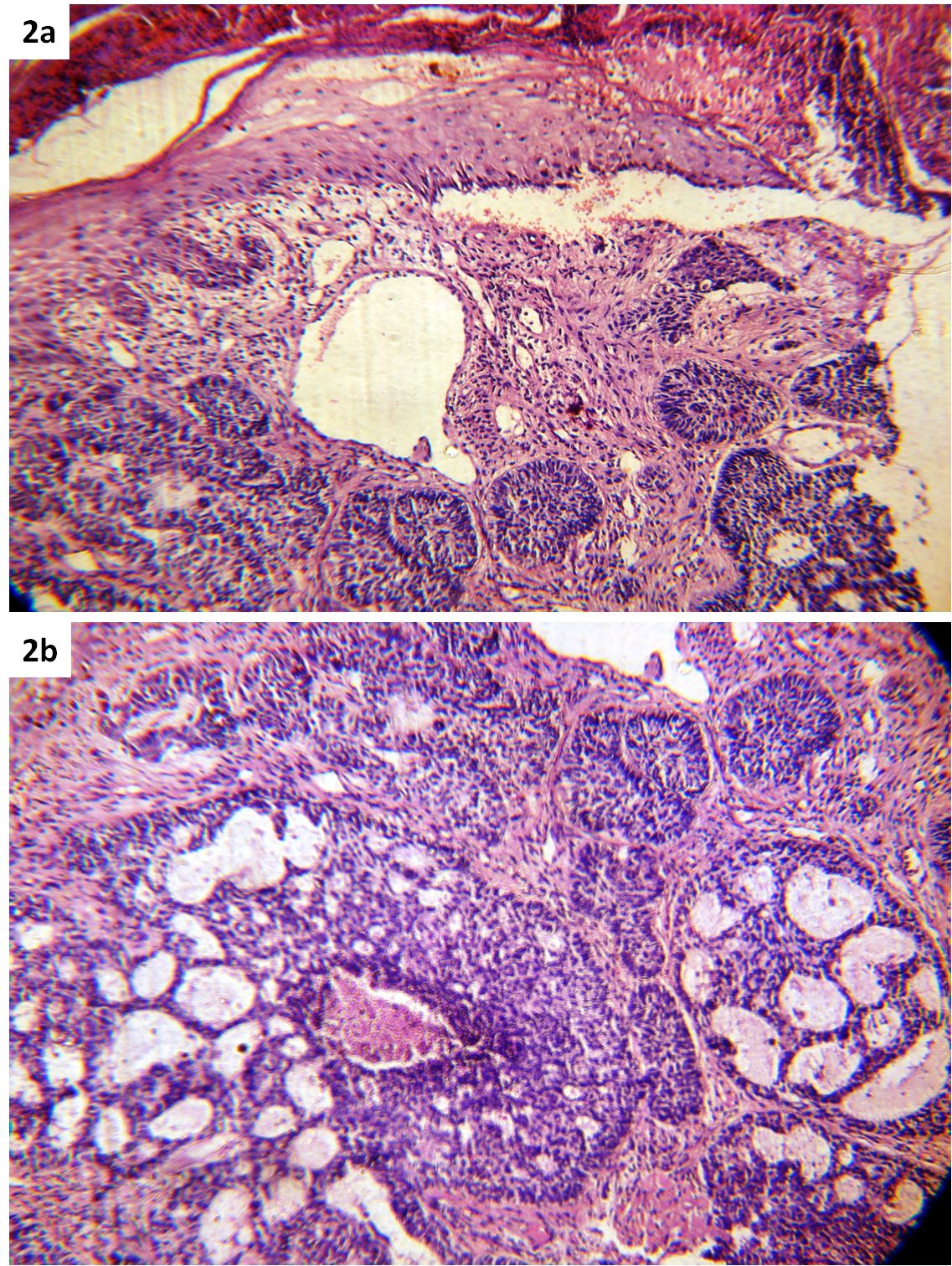
Fig 2: Biopsy showing basaloid cell nest in dermis (a) and cribiform pattern (b) (H&E X 200)