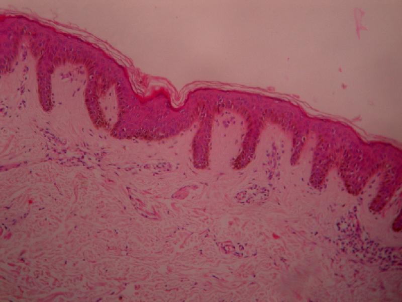
Fig 3
: Histopathological examination revealing elongation of rete ridges with increased melanocytes in the basal layer.(H&E 10X)