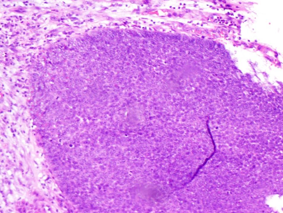
Fig 1: Photomicrograph showing nests of uniform basaloid follicular germinative cells, H&E, 200X