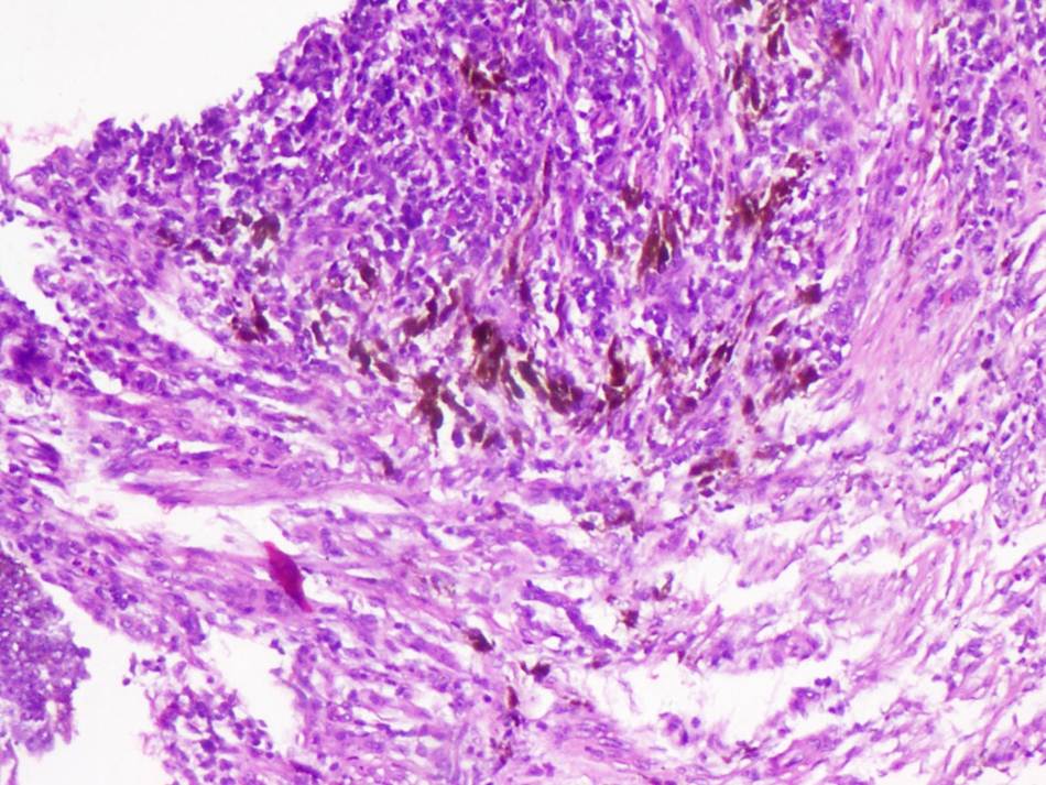
Fig 2: Photomicrograph showing basaloid cells with abundant intracytoplasmic melanin, H&E, 200X