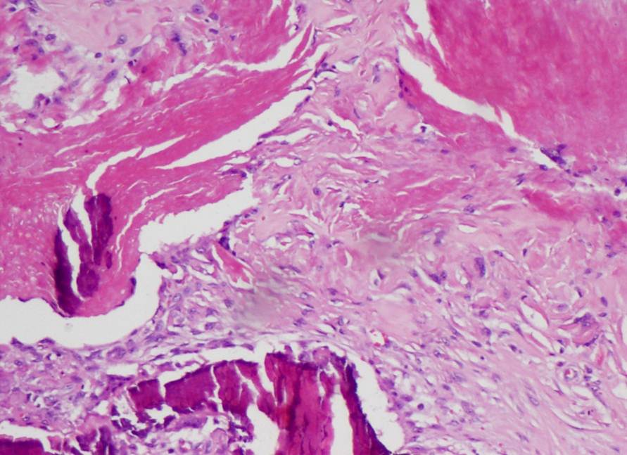
Fig 3,4: Photomicrograph showing islands of shadow cells, with foci of calcification surrounded by basaloid cells (H&E, 200X).