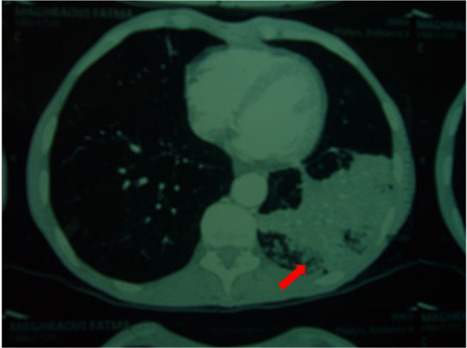
Fig 6