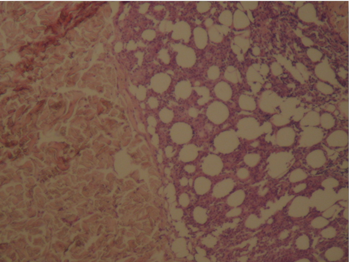
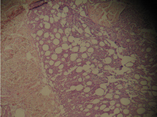
| Fig 9,10:
The histologic sections of [patient (b), taken by punch
biopsy (4mm) from trunk] revealed superficial and deep perivascular
lymphocytic infiltrate with plasma cells in the dermis.
Deep lymphocytic infiltration in the fat lobules and in
the septa and hyaline necrosis of the fat was present.
There was no vasculitis. (H&E stain; original magnifications:
x 40) |
|