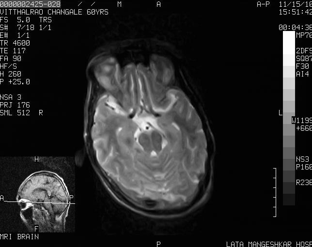
Fig 5: Shows MRI BRAIN (plain) - with edematous 7th and 8th nerve complex s/o inflammatory focus