
| EDOJ Contents |
Fenofibrate-induced acute generalized exanthematous pustulosis Paulo Morais, MD; Ana Margarida Barros, MD; Ana Paula Cunha, MD and Filomena Azevedo, MD
Department of Dermatology and Venereology,
Hospital de S.
João, Egyptian Dermatology Online Journal 4 (2):1, December,
2008
|
| Click Here for a Printable PDF version |
|
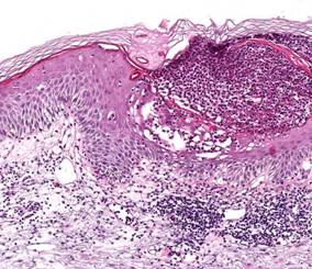
AbstractAcute generalized exanthematous pustulosis (AGEP) is an uncommon acute pustular eruption most often triggered by systemic drugs. We report a 68-years-old female patient who developed AGEP after the intake of fenofibrate. To our knowledge, this is the first report of this association in medical literature. Therefore, fenofibrate should be added to the list of AGEP-causing agents. IntroductionIn 1980 Beylot et al. [1] introduced the term pustuloses exanthemátiques aiguës généralisées (acute generalized exanthematous pustulosis [AGEP] in English medical literature) to rename the condition formerly termed exanthematic pustular psoriasis by Baker and Ryan in 1968 [2], to describe a subgroup of patients with pustular psoriasis who had a very acute pustular eruption, drug intake and no history of psoriasis. Fenofibrate is a lipid regulating agent of the fibrate class approved as an adjunct to diet in the treatment of adult patients with primary hypercholesterolemia, mixed dyslipidemia and hypertriglyceridemia [3,4,5]. Recent data also indicate its utility for optimizing reduction in the risk of cardiovascular disease in patients with type 2 diabetes and metabolic syndrome, as well as delaying the progression of diabetes-related microvascular complications, when combined with a statin [4]. Cutaneous adverse reactions (CAR) attributed to fenofibrate are rare and include acute hypersensitivity reactions such as severe skin rashes, urticaria, photosensitivity reactions, contact dermatitis, Stevens-Johnson syndrome, toxic epidermal necrolysis, pruritus, alopecia, herpes zoster, herpes simplex, acne, sweating, nail disorder and skin ulcer [3,5,6]. AGEP had never been associated with fenofibrate therapy. Case ReportA 68-year-old woman with atrial fibrillation, arterial hypertension and diabetes mellitus was taking acenocoumarol (dose based on International Normalized Ratio (INR) values), digoxin 0.2 mg/day, amlodipine 5 mg/day and rosiglitazone/metformin 2 mg/1000 mg once/day for several years. Three weeks before admission the patient was diagnosed with hypertrigliceridemia and was prescribed fenofibrate 267 mg/day. After 7 days of treatment, she developed an erythematous pustular eruption on inframammary folds, axillae, inner surface of both arms and laterothoracic areas associated with subfebrile temperatures. She attended her local doctor and was suspected to have scarlet fever, being medicated with intramuscular penicillin. Because no clinical improvement was achieved and the rash continued to spread, she returned to her doctor 2 days later and was advised to cease penicillin, was medicated with intravenous bolus of corticosteroid for suspicion of drug-induced cutaneous reaction, and was referred for a dermatological opinion concerning diagnosis and treatment. On physical examination, we observed widespread edematous erythema over the trunk, arms, buttocks, thighs and intertriginous areas, accompanied by many small, nonfollicular, superficial pustules. On the neck, axillae and inframammary folds confluence of pustules produced lakes of pus (Fig. 1). The mucous membranes, palms, and soles were unaffected. She was febrile (38.2 oC) and referred malaise and asthenia. She denied previous therapy with fenofibrate and reported no adverse reaction to other drugs. Personal or family history for psoriasis was negative. Routine blood tests revealed leukocytosis (12400/mm3; normal: 4000-11000/mm3) with neutrophilia (10400/mm3; normal: 2500-7500/mm3) and raised C-reactive protein (16.6 mg/L; normal < 5.0 mg/L). The remaining blood panel, urinalysis and cultures obtained from blood samples and pustular swabs were normal or negative. The skin biopsy specimen demonstrated non-follicular intra- and subcorneal pustules containing neutrophils, spongiosis, mild edema of the papillary dermis and perivascular inflammatory infiltrate mainly composed of neutrophils and eosinophils (Fig. 2). The histological findings were consistent with the clinical diagnosis of AGEP. Management involved withdrawal of fenofibrate, introduction of oral prednisolone (30 mg/day with a 2-weeks tapering), bathing with antiseptic solution (potassium permanganate) and emollients, which resulted in resolution of the exanthema within 1 week, followed by thin desquamation. For lipid control, the patient was prescribed simvastatin 20 mg/day. About 2 months after the resolution of the dermatosis, skin patch tests were performed with the Portuguese Contact Dermatitis Group standard series and fenofibrate capsules (267 mg) at 1, 5 and 10% in petrolatum. The tests were read at 48 and 96h and scored according to the International Contact Dermatitis Research Group grading scale. Only positivity for potassium dichromate (+) was detected. After a 6-month follow-up period there was no recurrence of the skin lesions. DiscussionThe estimated incidence of AGEP is approximately 1 to 5 cases per million per year [7,9]. More than 90% of cases of AGEP are drug induced, particularly by antibiotics and mainly beta-lactams and macrolids [7,8]. Few cases are related to other causative factors such as viral infections, mercurial antiseptics, topical agents, pneumococcal vaccine, herbal medications, foods, ultraviolet light exposure and spider bite [7,8]. Bernard et al. [9] demonstrated a high frequency of HLA-B51, -DR11 and -DQ3 in patients with AGEP. The interval between the administration of the drug and the onset of the eruption is usually 2 or 3 days for antibiotics and longer (3-18 days) for drugs other than antibiotics. Our patient started fenofibrate 7 days before the eruption. The diagnostic criteria of AGEP, initially proposed by Roujeau et al.[8] include: (i) numerous, small, non-follicular and sterile pustules arising on a widespread edematous erythema, with burning and/or itching; (ii) fever exceeding 38oC; (iii) histopathologic findings of subcorneal and, sometimes intraepithelial spongiform pustules; (iv) blood neutrophil count above 7000/mm3; and (v) acute course with spontaneous resolution of the pustular eruption in less than 15 days, followed by a characteristic postpustular pin-point desquamation. Recently, a validation score based on morphologic and histologic criteria, and disease course was elaborated by the EuroSCAR study group [7]. Our patient had a classic drug-induced AGEP with typical morphology, course and histology, fulfilling the diagnostic criteria established by Roujeau et al. [8]. Besides, according to the criteria of the EuroSCAR study group, fenofibrate-induced AGEP was considered a definite diagnosis (12 points; range for definite AGEP, 8-12). Lymphocyte transformation tests and skin patch tests (SPT) can be useful for diagnostic confirmation, and positive results suggest involvement of T cells in AGEP [10]. The percentage of positive SPT to the culprit drugs is frequently high (up to 80%) in patients with AGEP, particularly for antibiotics [11]. However, negative tests do not exclude this diagnosis. Early diagnosis of AGEP and the differentiation from other dermatoses, such as generalized pustular psoriasis (von Zumbusch type), subcorneal pustular dermatosis (Sneddon-Wilkinson disease), hypersensitivity syndrome with pustulation, pustular vasculitis or even toxic epidermal necrolysis [7,8], are important to avoid unnecessary and potentially dangerous drug therapy. Additionally, as occurred in our patient, the combination of fever, leucocytosis and pustules is often misdiagnosed as acute infectious disease leading to unnecessary administration of antibiotics. The withdrawal of the responsible drug is the main treatment for AGEP, in combination with topical corticosteroids and antipyretics [1,7]. Because lipid lowering is effective for primary and secondary prevention of cardiac events, one might expect an increase in the use of the various lipid-lowering agents including fenofibrate and, as a result, the associated CAR. To our best knowledge there are no previous reports in the international medical literature of AGEP induced by the ingestion of fenofibrate. Therefore, this drug should be added to the list of potential causes of AGEP. References1. Beylot C, Bioulac P, Doutre MS. Pustuloses exanthématiques aiguës généralisées, à propos de 4 cas. Ann Dermatol Venereol. 1980; 107: 37- 48. PMID: 6989310 2. Baker H, Ryan TJ. Generalized pustular psoriasis: A clinical and epidemiological study of 104 cases. Br J Dermatol. 1968; 80: 771- 793. PMID: 4236712 3. U.S. Food and Drug Administration. Drugs@FDA: Fenofibrate. Available at: http://www.accessdata.fda.gov/scripts/cder/drugsatfda/index.cfm. Accessed August 10, 2008. 4. Zambon A, Cusi K. The role of fenofibrate in clinical practice. Diab Vasc Dis Res. 2007; 4 Suppl 3: S15- 20. PMID: 17935056 5. Balfour JA, McTavish D, Heel RC. Fenofibrate: A review of its pharmacodynamic and pharmacokinetic properties and therapeutic use in dyslipidaemia. Drugs. 1990; 40(2): 260- 290. PMID: 2226216 6. Roberts WC. Safety of fenofibrate: US and worldwide experience. Cardiology. 1989; 76(3): 169- 179. PMID: 2673510 7. Sidoroff A, Halevy S, Bavinck JNB, Vaillant L, Roujeau J-C. Acute generalized exanthematous pustulosis (AGEP): a clinical reaction pattern. J Cutan Pathol. 2001; 28: 113- 119. PMID: 11168761 8. Roujeau JC, Bioulac-Sage P, Bourseau C et al. Acute generalized exanthematous pustulosis: Analysis of 63 cases. Arch Dermatol. 1991; 127(9): 1333- 1338. PMID: 1832534 9. Bernard P, Lizeaux-Parneix V, Miossec V et al. HLA et predisposition génétique dans les pustulosis exanthématiques (PEAG) et les exánthemes maculo-papuleux (EMP). Ann Dermatol Venereol. 1995; 122: S38. 10. Britschgi M, Pichler W. Acute generalized exanthematous pustulosis: a clue to neutrophil-mediated inflammatory processes orchestrated by T cells. Curr Opin Allergy Clin Immunol. 2002; 2(4): 325- 331. PMID: 12130947 11. Wolkenstein P, Chosidow O, Flechet ML et al. Patch testing in severe cutaneous adverse drug reactions, including Stevens-Johnson syndrome and toxic epidermal necrolysis. Contact Dermatitis. 1996; 35: 234- 236. PMID: 8957644 © 2008 Egyptian Dermatology Online Journal |