Egyptian Dermatology Online Journal, Volume 4 Number 2
EDOJ



Contents






Web
www.edoj.org.eg




Histiocytic sarcoma; histologic and immuno-phenotypic analysis: a case study

Rania El-Tatawy, MD; Lila Mansour,MD; Khiraya Gawish, MD *
and Moustafa Hussien, MD
 

Dermatology and Venereology Department , Pathology Department *,
Faculty of Medicine, Tanta University

Egyptian Dermatology Online Journal 4 (2): 5 , December, 2008

Accepted for publication in November 19th, 2008.
Click Here for a Printable PDF version 






Case Report

Eighty years old Egyptian female presented to the out- patient clinic of dermatology & venereology department of Tanta university hospital, having multiple painless skin lesions in the groin and upper thighs since 4 months. She had a history of diabetes mellitus (DM) and hypertension. There were no constitutional symptoms.

On examination, there were multiple painless nodules on the groin and upper thighs. The nodules were variable in size (1-2 cm in diameter). They were slightly dark in color, dome shaped, not tender with smooth surface. Some of them were adherent to the underlying structures (Fig. 1 a&b).

a
b

Fig 1 : Multiple nodules in the upper part of the thighs.

Lymph node examination revealed enlarged axillary and inguinal lymph nodes, that were multiple, variable in size, discrete and not adherent to the underlying structures. There were no abnormal hematopoietic cells in the peripheral blood or bone marrow aspiration. Blood showed abnormal kidney function. Image analysis, including abdominal CT showed hepatosplenomegaly.

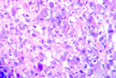
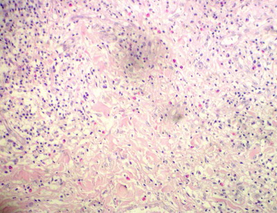
A 4 mm punch biopsy specimen was obtained from the centre of one nodule. Another excision biopsy was taken from the axillary lymph node. H & E stained sections revealed, cutaneous infiltration extended from the middle to lower dermis as well as in the subcutaneous fat. The infiltrate consisted of normal and atypical histiocytes with lymphocyte and plasma cells. The atypical histiocytes display large pleomorphic vesicular nuclei. Some of histiocytes contained in their cytoplasm phagocytes, erythrocytes, nuclear debris and fragment of leucocytes. Few cells showed typical Reed-Sternberg cells which are large histiocytic cell with several nuclei or bilobed nucleus that had a mirror image appearance (Fig.2). Lymph node biopsy showed similar findings (Fig.3).




Fig 2: Skin biopsy showed diffuse infiltration by large lymphohistiocytic cells. Some of cells showed lymphophagocytosis [H&E X 12].




Fig 3: LN biopsy showed multinucleated tumor cells with abundant cytoplasm [H&E X 160]

Immunohistochemical studies showed tumor cells were strongly positive for CD68 (Fig.4), Focal positivity for CD20 (Fig.5) and CD15 (Fig.6) and negative for CD30 (Fig.7) and ALK (Fig.8).




Fig 4: CD68 immunohistochemical stain showed strong diffuse cytoplasmic staining for histiocytes cells [X 160]




Fig 5: CD 20 immunohistochemical stain showed focal cytoplasmic staining for some cells [X 160]




Fig 6: CD 15 immunohistochemical stain showed focal cytoplasmic staining for some cells [X 160]




Fig 7: CD 30 immunohistochemical stain showed focal positivity for some cells [X 160]




Fig 8: ALK-1 immunohistochemical stain showed negative staining for all cells [X 160].

Clinical, histological and immunohistochemical findings were with the diagnosis of histiocytic sarcoma.

Discussion:

True histiocytic sarcoma (THS) is a rare lymphohematopoietic malignant neoplasm composed of tumor cells showing morphologic and immunophenotypic features similar to those of mature tissue histiocytes. There is expression of one or more histiocyte markers without accessory/ dendretic cell markers [1].

The term "histiocytic sarcoma" was introduced by Mathe et al in 1970 [2]. It was described in 1939 by Scott and Robbsmith as "malignant histiocytosis"[3].

It usually arises in lymph nodes (about one third of cases) as well as extranodal sites as skin (about one third of cases), gastrointestinal tract, liver, kidney, lungs, bone marrow and central nervous system. THS is extremely rare and all cases reported showed a very aggressive clinical course with a median survival of 4.5 months [4,5,6]. There is a wide age range including infants, children and adults. However, most cases reported in adults with median age 46 years. Male predilection is found in some studies [7].

Clinically, the patients may present with a solitary mass, but systemic symptoms are relatively common e.g. fever, weight loss. Skin manifestations may range from benign appearing rash, solitary lesion to multiple tumors on trunk and extremities[8].

The diagnosis of THS relies predominantly on the verification of histiocytic lineage and the exclusion of other poorly differentiated large cell malignancies (lymphoma, carcinoma, melanoma) by the way of extensive immunophenotypic investigation [9].

Cutaneous neoplasms morphologically suggestive of histiocytic lineage include heterogeneous, distinctive entities such as monocytes /macrophage lesions (as Hodgkin lymphoma), Langerhans cell / dendretic cell lesions (as Langerhans cell histiocytosis), fibrohistiocytic tumors, and CD30+ anaplastic large cell lymphoma [5,7,10].

Only the monocytes/macrophage lesions are designated as true histiocytes. Therefore, the diagnosis of true histiocytic neoplasm should be made only when characteristics of monocytes/macrophage series are strictly established [11].

The current criteria for diagnosis of true histiocytic sarcoma are as follows: [11,12,13].

1- The tumor cells show histiocytoid features such as nuclear foldings, abundant cytoplasm, and occasional phagocytosis.

2- They should be immune-reactive for two or more histiocytes associated markers.

3- They lack the reactivity for B-cell and T-cell specific markers.

4- They also lack Birbeck’s granules and reactivity for CD1a.

5- They are negative for CD30, which is a characteristic marker of anaplastic large cell lymphoma.

6- There is no evidence of immunoglobulin or T-cell receptor gene rearrangement.

CD 163, a recently characterized hemoglobin scavenger receptor, has offered a means of identifying histiocytic cells. It appears to be a specific marker of histiocytic lineage and a promising diagnostic tool for evaluating histiocytic neoplastic neoplasm.[8]

Our case fulfilled the most of histological and immunohistochemical criteria for diagnosis of true histiocytic sarcoma.

Histologically, the tumor cells of our case showed atypical histiocytes with large pleomorphic vesicular nuclei. Some of histiocytes contained in their cytoplasm phagocytes, erythrocytes, nuclear debris and fragments of leucocytes. The erythrophagia of these histiocytes are best seen in lymph nodes. Also, it was seen in histiocytic cytophagic panniculitis which represent low grade form of true histiocytic sarcoma. But some investigators reported that phagocytosis is not always essential for the diagnosis of THS. [14]

Rosai-Dorfman disease is a benign form of histiocytic disorders. Clinically, it is similar to histiocytic sarcoma. Histologically, we can differentiate it from histiocytic sarcoma by presence of dilated lymphatic channels with intra-luminal histiocytes and thick walled vessels surrounded by plasma cells. Histiocytes have wispy cytoplasm and rounded or oval nucleus. Occasionally, multinucleated cells or cells showing nuclear atypia are present but mitosis are rare. Lymphophagocytosis or emperipolesis (phagocytosis of leukocytes particularly lymphocytes) is always present, and less frequently intra-cytoplasmic plasma cell, neutrophils, and red blood cell may be seen. [15]

Immunohistochemically, tumor cells of our case were strongly positive for CD 68+ which is the specific marker for histiocytes. This is consistent with previous reports. [7,16,17]

Also, there was focal positivity for CD 20 and CD 15. This is consistent with Alexiev et al 2007[17] who found focal positivity for CD20. On the other hand, some authors reported that THS showed negativity for CD 20, and CD15 [18]. Arai et al 2003[11] found that neoplastic cells were positive for CD15 in some cases and all cases were negative for CD20.

In our case, the neoplastic cells were negative for ALK and CD30, which are the specific markers for anaplastic large cell lymphoma [19]. Some investigators have also reported cases of CD30 positive THS[11].

THS is a rare lymphohematopoietic malignant neoplasm which is difficult in pathologic diagnosis. We used a comprehensive immunophenotyping panel including CD68 which is one of strong histiocytic markers. Also, we used CD15, CD20 to exclude B-cell lymphoma and Hodgkin lymphoma and ALK-1 and CD30 markers to exclude anaplastic large cell lymphoma. THS is a very aggressive disease and its diagnosis may be missed, so we recommend that the histiocytic markers must be included in routine panel of antibodies used for investigations of undifferentiated neoplasms.

References


1. Huang SC, Chang CL, Huang CH, Chang CE. Histiocytic sarcoma: A case with evenly distributed multinucleated giant cells. Pathology Research and Practice, 2007; 203(9), 683- 689. PMID: 17673373

2. Mathe' G, Gerard - Marchant R, Texier JL. The two varieties of lymphoid tissue reticulosarcomas, histiocytic and histioblastic types. Br J Cancer. 1970, 24: 687- 695. PMID: 4926535

3. Scott RB, Robbsmith AHT. Histiocytic medullary reticulosis. Lancet. 1939, 2: 194- 198.

4. Torres CF, Kornes DN, Powers JM, Vadasz AG. Primary leptomeningeal histiocytic lymphoma in a young child. Med Pediatr Oncol. 1996, 27: 547- 550. PMID: 8888815

5. Cheuk W, Walford N, Lou J. Primary histiocytic lymphoma of the central nervous system: a neoplasm frequently overshadowed by a prominent inflammatory component. Am J Surg pathol. 2001, 25: 1372- 1379. PMID: 11684953

6. Sun W, Nrdberg ML,and Fowler MR. Histiocytic sarcoma involving the central nervous system: clinical, immunohistochemical, and molecular genetic studies of a case with review of the literature. Am J Surg Path. 2003; 27: 258- 265. PMID: 12548175

7. Weiss LM, Grogan TM, Muller- Hermeilink HK, Stein H. Histiocytic sarcoma: pathology and genetics of tumors of haematopoietic and lymphoid tissues (WHO classification of tumors) ARC press, Lyon France. 2001: 278 -279.

8. Vos JA, Abbondanzo SL, Barekman CL, Andriko JW, Miellinen M, and Aguilera NS. Histiocytic sarcoma: a study of five cases including the histiocyte marker CD163. Modern Pathology. 2005, 18: 693- 704. PMID: 15696128

9. Carbone A, Gloghini A, Volpe R. KP1 (CD68) positive large cell lymphomas: a histopathologic and immunophenotypic characterization of 12 cases. Hum Pathol. 1993, 24: 886- 896. PMID: 7690736

10. Bouabdallah R, Abena P, Chetaille B, Aurran Schleinitz T, Sainty D, Gastant JA. True histiocytic lymphoma following B-acute lymphoblastic leukemia: case report with evidence for a common clonal origin in both neoplasms. Br J Haematol. 2001, 113: 1047- 1050. PMID: 11442501

11. Arai E, Yamamoto T, Kayano H, Shimada T, Shimada S, Hrose T. Primary cutaneous true histiocytic sarcoma: A case with an indolent course. J Clin Exp Hematopathol. 2003, 43: 35- 41.

12. Arai E, Su WPD, Roche PC, Li CY. Cutaneous histiocytic malignancy: Immunohistochemical re-examination of cases previously diagnosed as cutaneous "histiocytic lymphoma" and malignant histiocytosis. J Cut Pathol. 1993, 20: 115- 120. PMID: 8320354

13. Copie -Bergman C, Wothers Poon AC, Norton AJ, Diss TC, Isaacsn PG. True histiocytic lymphoma: A morphologic, immunohistochemical and molecular genetic study of 13 cases. Am J Surg Pathol. 1998, 22: 1386- 1392. PMID: 9808131

14. Ralfkiaer E, Delsol G, Oconno NTJ, Barndt-Zaeg P, Brosse P, Vejlsgaard GL, Mason DY. Malignant lymphomas of true histiocytic origin: A clinical histological, immunophenotypic and genotypic study. J Pathol. 1990, 160: 9- 17. PMID: 2156039
 
15. Parrin C, Michiels JF, Lacour JP. Sinus histiocytosis (Rosai-Dorfman disease) clinically limited to the skin: An immunohistochemical and ultrastructural study. J Cutan Pathol. 1993, 20: 368- 374. PMID: 7693780

16. Sato T, Terui T, Kogawa K, Nagaoka, Sato Y, Iyama S, Takada K, Hagiwara S, Takahasi S, Oku T, Matsunaga T, Takahashi M, Kato J, Sakamak S, Torigoe T, Sato N. A case of true malignant histiocytosis identification of histiocytic origin with use of immunohistochemical and immunocytogenetic methods. Ann Hematol. 2002, 81 (5): 585- 588. PMID: 12029539

17. Alexiev BA, Sailly C, Mc Clure SA, Ord RA, Zhao XF, Padimitriou JC. Primary histiocytic sarcoma arising in head and neck with predominant spindle cell component. Diagnostic Pathology. 2007, (2): 2- 7. PMID: 17324277

18. Black J, Cao M, Chang C, Eshoa C, Schultz C, Zu Y. Primary central nervous system histiocytic sarcoma with relapse to mediastinum a case report and review of the literature: case report. Arch Pathol Lab Med. 2007, 131: 301- 305. PMID: 17284118

19. Bakshi NA, Ross CW, Finn WG, Valdez R, Ruiz R, Kujok K, Schnitzer B. ALK positive anaplastic large cell lymphoma with primary bone involvement in children. Am J Clin Pathol. 2006, 125: 57- 63. PMID: 16482992

© 2008 Egyptian Dermatology Online Journal